Skip to content

Фотогалерея

  • Главная
  • Контакты

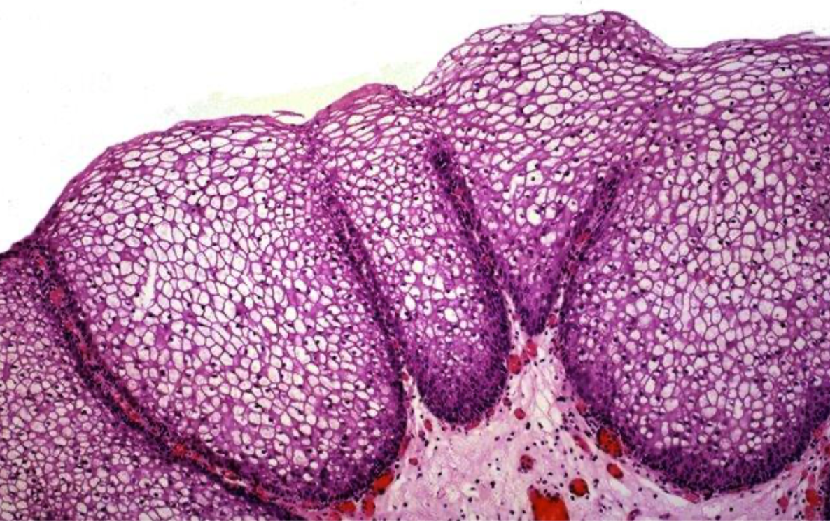
Тригонит

Тригонит мочевого пузыря - YouTube

Тригонит мочевого пузыря - YouTube

Цистит. Виды цистита. Лечение цистита - презентация онлайн

Цистит. Общее описание заболевания и этиология - презентация онлайн

Цистит. Общее описание заболевания и этиология - презентация онлайн

Цистит. Общее описание заболевания и этиология - презентация онлайн

Цистит. Общее описание заболевания и этиология - презентация онлайн

Цистит. Общее описание заболевания и этиология - презентация онлайн

Цистит. Общее описание заболевания и этиология - презентация онлайн

Цистит. Общее описание заболевания и этиология - презентация онлайн

Воспалительные заболевания мочеполовых органов - online presentation

Самая важная область мочевого пузыря! Треугольник Льето мочевого пузыря ...

Virus: ТРИХОФОБИЯ

Эстрадиол (EVOREL CONTI) - инструкция по применению лекарства Израиль ...

Эстрадиол (EVOREL CONTI) - инструкция по применению лекарства Израиль ...

Эстрофем (ESTROFEM 2 MG) - инструкция по применению лекарства Израиль ...

Эстрофем (ESTROFEM 1 MG) - инструкция по применению лекарства Израиль ...

Эстрофем (ESTROFEM 2 MG) - инструкция по применению лекарства Израиль ...

Эстрадиол (VAGIFEM 10 MCG) - инструкция по применению лекарства Израиль ...

Цистит. Классификация

Estradot 50 цена, купить в Москве, инструкция

Открытое Акционерное Общество «Колос» - Минеральная вода

Тригонит мочевого пузыря, что это такое и как его лечить

Цистоскопия

Gynokadin гель цена, купить в Москве, инструкция

Урология - Центр комплексной медицины

Тригонит мочевого пузыря | Университетская клиника

Тригонит: симптомы и лечение

Жозеф Льето | это... Что такое Жозеф Льето?

Лейкоплакия: подробный разбор – Telegraph

Тригонит мочевого пузыря: причины, симптомы и лечение

ТУР мочевого пузыря — цены от 1390 руб. в Краснодаре, 13 адресов

После цистоскопии: осложнения, восстановление | Университетская клиника

Классификация цистита по МКБ 10

Цистит — симптомы, причины, диагностика и лечение | Блог ЛДЦ Здоровье

  • Вперед Хавал джолин
  • Назад Порошок для спортсменов

Новые страницы

Абаза санаторий

Алпайн 9882ri инструкция

Английский пятый класс страница 94 упражнение четыре

Арамиль доставка еды

Бурение артезианской скважины

Детонирует двигатель на приоре

Fill in a an or some

Гдз по английскому 7 класс афанасьева практикум

Гдз по геометрии 7 класс атанасян номер 238

Гдз по математике за пятый класс виленкин

К какому врачу обращаться с потенцией

Календарный план периодического медосмотра образец по приказу 29н

Личное письмо на английском языке образец

Литература 2 класс 2 часть стр 106 ответы

Математика пятый класс номер 631

Объекты всемирного наследия юнеско в россии презентация по географии

Обрыв ремня генератора последствия

Персульфата аммония

С днем рождения племянницы для тети картинки красивые

Самокат фитнес клуб

Шиномонтаж хотьково телефон

Спойлер и антикрыло разница

Спортлото 82 песня про любовь

Ta8164

Тамсулозин капсулы

Томас мор утопия

Тренировочный вариант базовая математика 2024

Устранить засор в ванной вызов мастера

Вибрации по кузову гранта

Внутренние угрозы безопасности

cdn.zecar.ru