Skip to content

Фотогалерея

  • Главная
  • Контакты

Остеохондропатия бугристости большеберцовой кости лечение

Самые страшные травмы в спортивной гимнастике. Остеохондропатия ...

УЗИ колена | Болезнь Осгуда Шлаттера | Остеохондропатия бугристости ...

Болезнь Шляттера лечение | МЦ "Аватаж" | ЭУВТ в Запорожье

Болезнь Шляттера лечение | МЦ "Аватаж" | ЭУВТ в Запорожье

Остеохондропатия - лечение, симптомы, виды

Системные заболевания опорно-двигательного аппарата у детей ...

Остеохондропатия бугристости

Болезнь Кенига коленного сустава (остеохондроз), остеохондропатия и ...

Болезнь Кенига коленного сустава (остеохондроз), остеохондропатия и ...

Остеохондропатии: бугристости большеберцовой кости, позвоночника ...

Детская ортопедия - презентация онлайн

Болезнь Осгуда — Шляттера

Болезнь Осгуда Шлаттера Фото — New-Freepik.Ru

Остеохондропатия ладьевидной кости стопы: лечение

Перелом бугристости большеберцовой кости. Классификация, диагностика и ...

Перелом бугристости большеберцовой кости. Классификация, диагностика и ...

Физическая реабилитация при диафизарном переломе бедренной кости

Остеохондропатия Осгуда-Шляттера – Telegraph

Карточки Мышцы бедра | Quizlet

Остеохондропатия бугристости большеберцовой кости (болезнь Осгуда-Шлаттера)

Остеохондропатия бугристости большеберцовой кости (болезнь Осгуда-Шлаттера)

Остеохондропатии и остеодистрофии - презентация онлайн

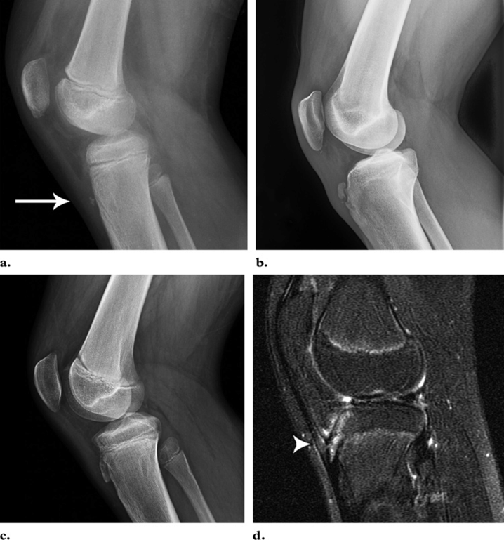
Болезнь Осгуд-Шлаттера: возможности визуальной диагностики

Тендинит собственной связки надколенника: причины, виды, симптомы и лечение

Болезнь Осгуд-Шлаттера: возможности визуальной диагностики

Перелом малоберцовой и большеберцовой кости: лечение и реабилитация

Остеохондропатия. Осгуда - Шлаттера болезнь. + | Портал радиологов

Остеохондропатия. Осгуда - Шлаттера болезнь. + | Портал радиологов

Остеохондропатия. Осгуда - Шлаттера болезнь. + | Портал радиологов

Остеохондропатия. Осгуда - Шлаттера болезнь. + | Портал радиологов

Остеохондропатия. Осгуда - Шлаттера болезнь. + | Портал радиологов

Остеохондропатия. Осгуда - Шлаттера болезнь. + | Портал радиологов

Остеохондропатия. Осгуда - Шлаттера болезнь. + | Портал радиологов

Остеохондропатия. Осгуда - Шлаттера болезнь. + | Портал радиологов

Остеохондропатия. Осгуда - Шлаттера болезнь. + | Портал радиологов

  • Вперед Шелушение кожи головы причины
  • Назад Что можно сделать из термомозайки схема для девочек

Новые страницы

Англ 4 кл учебник

Бачата зеленоград

Бала воланда

Чем отличается ваз 2109 от ваз 2114

Читательский дневник карлсон

Что такое милосердие сочинение

Фланец фиксирующий для пэ труб

Innopolis university

Изображение иконы пресвятой троицы

Как правильно нарисовать мусульманский полумесяц

Как проверить масло тойота на подлинность

Каменск уральский мотокросс центр технических видов спорта

Картинки зубной феи в реальности

Lacetti размеры

Лечение пироплазмоза

Образец рапорта на отпуск ветерана боевых

Образец распорядительного письма в страховую компанию от юридического лица

Образец заявления на перерасчет пенсии в пенсионный фонд

Перевести нанофарады в пикофарады

План работы старшей медсестры на год в стационаре образец

Правильно зарядить автомобильный аккумулятор

Разъем трехпиновый

Схема мкс по странам

Схема сбора

Схему вышивки русского алфавита

Словосочетание с наречием сладко

Сухум пляжи отзывы

Упр 440 русский 7 класс

Воздухоочиститель своими руками

Заявление на взыскание по исполнительному листу образец приставам

cdn.zecar.ru