Skip to content

Фотогалерея

  • Главная
  • Контакты

Клиновидные дефекты зубов лечение

Клиновидные дефекты зубов - YouTube

Клиновидные дефекты зубов. - YouTube

Лечение клиновидных дефектов зубов - YouTube

Клиновидные дефекты зубов и методы исправления. Стоматолог Цыбульская ...

Клиновидные дефекты зубов. Что это такое и как избавиться? - YouTube

Новая разновидность формы кламмеров для фиксации съёмного протеза за ...

Dent Zone - просто о здоровье зубов

Аномалии позвоночника и неопухолевые заболевания - презентация онлайн

Пародонтоз: лечение, симптомы пародонтоза и фото | Ваш стоматолог

Клиновидные дефекты зубов

Клиновидные дефекты зубов

Клиновидные дефекты зубов

Клиновидные дефекты зубов | Круглосуточная стоматология в Москве

Патологическая стираемость зубов. Клиновидные дефекты.

Posted by @kuzmenkova_liliya Кузьменкова Лилия/Liliia Kuzmenkova: А вы ...

Дефект Зуба Фото — Фото Картинки

Дефект Зуба Фото — Фото Картинки

Презентация на тему: "Кафедра Пропедевтической стоматологии МГМСУ ...

Клиновидный дефект — Стоматология

Иллюстрация 1 из 1 для Клиновидные дефекты твердых тканей зубов - Пихур ...

Микроабразия эмали цена в Москве в стоматологии Rudenta

Эрозия эмали зубов, лечение в Москве

Клиновидный дефект

Клиновидные дефекты зубов — цены на лечение в Новосибирске

Патологические изменения зубов. - Стоматология в Северо-Восточном ...

Клиновидные дефекты зубов — цены на лечение в Новосибирске

Клиновидный дефект зубов: причиные и лечение, цена в Москве

Ортопедическое лечение при полном отсутствии зубов - презентация онлайн

Клиновидные дефекты зубов - симптомы болезней на med36.com

Искусственные коронки Классификация коронок По материалу 1 ...

Презентация на тему: "Алматы 2017 Выполнил: Корганбаев К. Факультет ...

Презентация на тему: "Некариозные поражения зубов. Некариозные ...

Презентация на тему: "Некариозные поражения зубов. Некариозные ...

Клиновидные дефекты зубов.

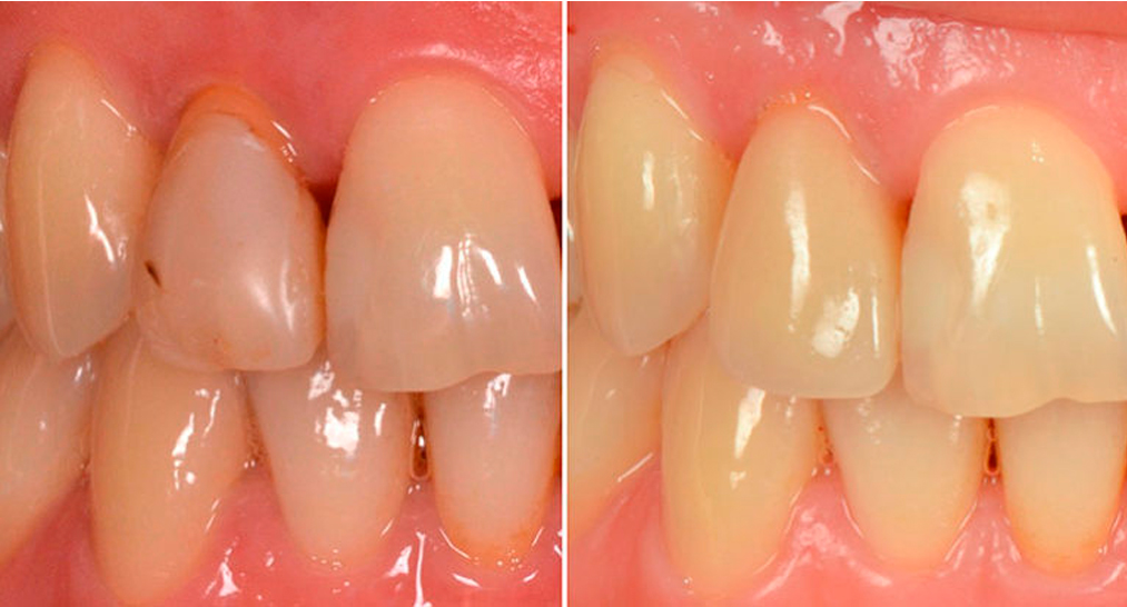
Лечение клиновидных дефектов и замена реставраций, фото до и после ...

  • Вперед Чистка кондиционера в авто
  • Назад Netology

Новые страницы

16Кч9п ду80

Аккорды группа крови на гитаре для новичков картинки расшифровка

Белый русский рецепт

Большая и малая кривизна желудка

Чему учит цветик семицветик

Цитовир 3 инструкция по применению цена капсулы

Complete the sentences with for or since

Фитнес ссср дзержинское

Карта осадков новоминская

Квк 2 вся карта

Логическая схема теории

Математика 6 класс виленкин 2 часть номер 197

Мфпа

Напишите уравнения реакций с помощью которых можно осуществить следующие превращения карбид алюминия

Образец заявления на отгул за отработанное время

Понятие информации схема

Процесс преобразования постановки задачи в план алгоритмического или вычислительного решения это

Расположение реликвий в nfs payback карта

Ремонт тяжелого дизельного китайского мотоблока

Самолеты турецких авиалиний схема

Саранск стекло

Схема газового клапана

Схема тройной розетки

Смешные картинки пнг

Специалист по водоподготовке

Спортивная организация что писать

Триумфальная арка а париже

Видеодомофон тантос инструкция подключения

Vref на схеме что это

Жигулевск инфинити

cdn.zecar.ru