Skip to content

Фотогалерея

  • Главная
  • Контакты

S pneumoniae

Characteristics of S. pneumoniae strains. | Download Scientific Diagram

Resistance of S. pneumoniae to routine antibiotics in different years ...

Diagnostic characteristics of S. pneumoniae in the present study ...

China S. pneumoniae/L. pneumophila Combo Antigen Rapid Test Kit ...

Univariate and Multiple Logistic Regression Analyses of S. pneumoniae ...

China S. pneumoniae/L. pneumophila Combo Antigen Rapid Test Kit ...

Perbedaan Mycoplasma Pneumoniae dan Pneumonia Tipikal Menurut Ahli

Pneumonia with Streptococcus pneumoniae | Allergy and Clinical

Pneumonia is an infection of one or both lungs that causes inflammation ...

Streptococcus pneumoniae

Pneumonia caused by Streptococcus pneumoniae bacteria, conceptual ...

Digital artwork of Streptococcus pneumoniae bacteria inside alveoli of ...

Pneumonia Bacteria Image

Streptococcus Pneumoniae Agar

Newsroom Image Library - Disease Agents | CDC Online Newsroom | CDC

Mycoplasma pneumoniae: Video, Anatomy & Definition | Osmosis

Streptococcus Pneumoniae Culture

Streptococcus Pneumoniae Disease

Pneumonia – Symptoms, Causes, Effect And Treatment | WHL

Grafico Generalizar Registro klebsiella colony morphology Heredero ...

Food related medical terms: Red currant jelly sputum

Streptococcus Pneumoniae On Blood Agar Plate

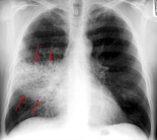
Chest Radiology

Bacterial Pneumonia Cell

Bacterial Pneumonia Cell

Streptococcus Pneumoniae Pus Cells Sputum Smear Stock Photo 2233703619 ...

Community-acquired pneumonia: Clinical sciences - Osmosis Video Library

Mycoplasma pneumoniae: Properties, Disease, Diagnosis • Microbe Online

Pneumococcal pneumonia, medical concept. 3D illustration showing ...

Emergence of Mycoplasma Pneumoniae Pneumonia: Key Considerations in ...

Streptococcus Pneumoniae Bacteria Cell Medical Diagram Icon Vector ...

Klebsiella Pneumoniae. Urine Culture On Macconkey Agar Royalty-Free ...

Superbug Pneumonia: 37 States, 50% Mortality Rate

Pneumonia bacteria attacks lungs with toxic weaponry | Science News

Lab diagnosis - LABORATORY DIAGNOSIS FOR STREPTOCOCCUS PNEUMONIAE ...

  • Вперед Код краски тойота камри
  • Назад Тейпы на лоб от морщин наклеить правильно схема

Новые страницы

Бунгало на берегу океана

Доработка масляного насоса ваз 2112

Ганнибал 8р

Карта осадков пермь на сегодня онлайн в реальном

Картинка круглая с днем рождения надпись

Колледж мти

Лечение миомы без операции

Мафия 3 карта коммутаторов

Маршал щенячий патруль картинки

Машина победа цена

Мицубиси аутлендер расход топлива

Не надобен и клад коли

Не закрывается капот на ниве

Половник с дырочками

Пословицы про азбуку

Ремонт холодильников замена уплотнителя двери

Рени парфюм каталог ароматов по номерам с картинками женские новинки

Самый тяжелый вид спорта

Схема слов серые

Синтезатор elenberg ms 6140 схема

Сколько стоит прокладка кабеля за метр

Sports watch инструкция на русском

Справка 286 у образец

Справка формы 112 у образец

Термальные источники базы отдыха

Ведьмины руны значение и изображение описание

Выездная диагностика мотоцикла

Вынос односкатной крыши от стены размер

Все озера хакасии их

Замена карданчика кулисы ваз 2115

cdn.zecar.ru