Skip to content

Фотогалерея

  • Главная
  • Контакты

От чего бывает заворот кишок

Заворот кишок - YouTube

Заворот кишок у собак. Ветеринарная клиника Био-Вет. - YouTube

Заворот кишок. Как лечить заворот кишок. - YouTube

Заворот кишок у кошек. Ветеринарная клиника Био-Вет. - YouTube

Не смотри : у меня заворот кишок ! o.O - YouTube

Заворот кишок. Когда время против нас. - YouTube

ГРЫЖА. От чего она БЫВАЕТ, и надо ли её БОЯТЬСЯ? - YouTube

Заворот желудка у чихуахуа? Бывает и такое! #ветеринария # ...

Заворот кишок | БОЛЯЧКИ: ЖКТ | Постила

Заболевания ободочной и прямой кишки. Кишечная непроходимость ...

Что такое заворот кишок | Купрум

Папиллома у кошки фото

А так бывает? :: ВЫ ОЧЕВИДЕЦ

Создать мем "гас фринг, густаво фринг во все тяжкие, джанкарло эспозито ...

Дачники назвали главные ошибки, которые губят урожай огурцов

Что такое папиллома в гинекологии фото

Бывает | Пикабу

Если мальчик любит мыло и зубной порошок. — DRIVE2

Проглоченная 10 лет назад скоба от брекетов вызвала у австралийки ...

Что такое заворот кишок | Купрум

Как выглядит крапивница у детей на лице фото

Твердый стул после введения прикорма овощей - 88 фото

Что такое заворот кишок | Купрум

猫 pet壁纸【123】(动物静态壁纸) - 静态壁纸下载 - 元气壁纸

И такое бывает | Пикабу

Для чего? (Натаха Недострахова) / Проза.ру

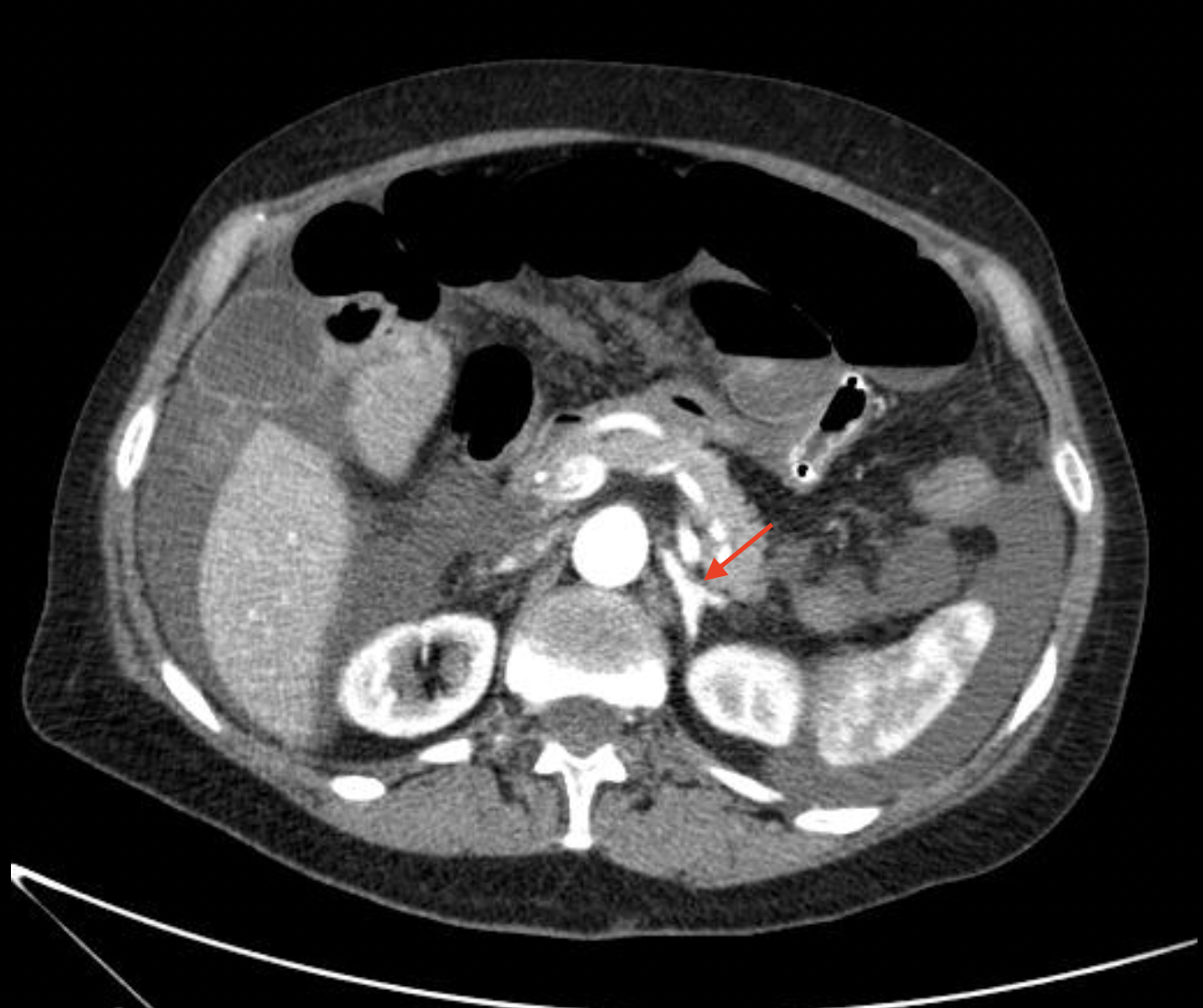
Заворот кишечника - причины, симптомы, диагностирование и лечение ...

Заворот кишок - признаки, причины, симптомы, лечение и профилактика ...

Непроходимая ситуация. Когда образуется заворот кишок и чем опасен ...

Заворот кишок у дитини медики переплутали з тепловим ударом: Батько ...

Заворот кишок у кошек - «Айболит Плюс» - сеть ветеринарных клиник

Отчего бывает заворот кишок | Для пациентов | Дзен

Типы заворот кишок: это у тебя кишка тонка или заворот кишок? | Royal ...

Случаи из практики: заворот кишок | Пикабу

Почему у кошек возникает заворот кишок. Диагностика проблемы и ее ...

  • Вперед Река навля
  • Назад Презентация подлежащее и сказуемое главные чл предложения 2 класс школа россии

Новые страницы

10 Мечей 78 дверей карта дня

8 Жезлов таро значение карта дня

94 12

Alfa romeo mito

Алгебра 1083 7 класс

Bmw m5 универсал

Гдз 3 класс английский язык рабочая

Гдз по английскому языку 2 кл

Гдз по матике 4 класса 2 часть

Хавер машина

Испания 16 век

Изо 1 класс школа россии 1 урок презентация разноцветные

Калькулятор давление

Норвегия крупный экспортер

Определения по физике 8 класс перышкин

Отель кастро в кабардинке цены

Представление информации картинки для презентации

Прокладка паронитовая для фланцевых соединений

Рабочие вакансии на стройках в москве

Распиновка магнитолы nscn w60

Ремонт панелей сименс

Рисунок буква в граффити

Самые известные картины третьяковской галереи с названиями и авторами фото

Схема сестрорецка

Сибирский тракт карта с населенными пунктами подробная

Таблица мастеров спорта

Территория фитнеса бутово

Тюнинг минска

Vb2 danfoss

Замена топливного фильтра kia rio

cdn.zecar.ru