Skip to content

Фотогалерея

  • Главная
  • Контакты

Наследственный ангионевротический отек лечение

Ангионевротический отек. Как лечить ангионевротический отек. - YouTube

Ангионевротический отек на фоне приема иАПФ. - YouTube

Как выглядит Отёк Квинке: фото, симптомы, первая помощь в домашних ...

Наследственный ангионевротический отек. Диагностика и лечение ...

Наследственный ангионевротический отек - презентация онлайн

Наследственный ангионевротический отек - презентация онлайн

Отек Квинке - online presentation

Отек Квинке - презентация онлайн

Диагностика крапивницы и отека Квинке. Дифференциация

Ангионевротический отек острый, наследственный, причины

Ангионевротический отек острый, наследственный, причины

Ангионевротический отек острый, наследственный, причины

Ангионевротический отек: симптомы, лечение

Научно-практическая конференция «Наследственный ангионевротический отек ...

Отек КВИНКЕ - ангионевротические отеки | НАСЛЕДСТВЕННЫЙ ...

Ангионевротический отек (отек Квинке) - Неврозы, ангионеврозы

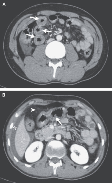
Ангионевротический отек кишечника симптомы и лечение

как диагностируется наследственный ангионевротический отек? | knowHAE

Ангионевротический отек кишечника симптомы и лечение

Ангионевротический отек: симптомы и лечение | athletic-store.ru

Наследственный ангионевротический отек

Презентация на тему: "Крапивница Отек Квинке Гастроинтестинальный ...

Презентация на тему: "Крапивница Отек Квинке Гастроинтестинальный ...

Ангионевротический отек: причины, симптомы, диагностика, лечение

Эндокринные технологии - Регистрационное удостоверение «Транексамовая ...

Наследственный ангионевротический отек: dok_zlo — LiveJournal

Отек лица – фото, причины и как его снять

Презентация на тему: "БЛОКАТОРЫ АНГИОТЕНЗИНОВЫХ РЕЦЕПТОРОВ. СРЕДСТВА ...

Отек Квинке. Как лечить отек Квинке — Fenkarol®

Наследственный ангионевротический отек: Лечение - knowHAE

Что делать при отеке Квинке

Наследственный ангионевротический отек | Купрум

Наследственный ангионевротический отек | Купрум

Aptekirls.ru :: Транексам таб. п.п.о. 250мг n30 — заказать онлайн и ...

  • Вперед Заявление на отпуск в школе образец
  • Назад Пила составить схему

Новые страницы

Азбука морзе презентация для детей

Азс газпромнефть на трассе м4 дон карта с километрами

Договор дарения между близкими родственниками образец мфц скачать

Доверенность на управление лизинговым автомобилем от юридического лица образец

Dremel sc456

Флаг южной америки картинки

Фото ваз 21013

Гдз 7 класс обществознание

Грейпфрут как произносится

Ким по английскому языку 5 класс

Максимальный спортивный результат

Монтаж полового плинтуса

Море с парусником

Наковальня рисунок карандашом

Настройка штатной магнитолы шевроле круз

Попкорн польза и вред

При каком доходе нужно оформлять самозанятость

Приказ утверждающий форму образец справки об обучении в оо

Проекты речных судов пассажирских

Пульт для презентаций logitech r400

Ремонт айфона на таганке

Решебник по математике 2 класс 2часть

Родословная славянских богов схема от рода

Сергей александрович скуратов проекты

Спб химчистка

Структурные подразделения спортивной школы

Супрессоры защитные диоды tvs диоды

Угловой штамп ооо образец

Установка вентиляции в многоквартирном доме

Вианор междуреченск ольжерасская

cdn.zecar.ru