Skip to content

Фотогалерея

  • Главная
  • Контакты

Mgp 131

Колодка удлинителя 3-м с заземлением MAKEL MGP131 - выгодная цена ...

MGP-131_MGPseries_Wenzhou BODEN Electric Appliance Co., Ltd

VMFA-323 Death Rattlers Coffee Mug — SGT GRIT

MGP-131_MGPseries_Wenzhou BODEN Electric Appliance Co., Ltd

PODSKLOP SA 3M MGP 131 - TEHNO-KOVA DOO

MGP | PDF

MGP 641 xi | Extron

Fiat 131 technische daten und verbrauch

KSP UPDATE Mg 131 WIP NOT RELEASED - YouTube

Brake caliper covers from MGP Calipers installed | MaverickTruckClub ...

Naval Photos: BAP Mollendo (ATC 131)

Podsklop K-3 šuko MGP 131

fossile (ammonite, esemplare)

William Field

Guide To Saving Memories — maggieGphoto

MGP Origin Pro Limited Edition neochrom – 23581 – GKB-Skatepark

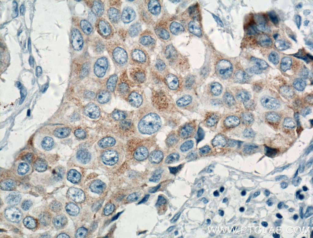
MGP Antibody (10734-1-AP)

Race Winning Brands Automotive - MGP

MGP Ingredients promotes Amel Pasagic to CCO | Food Business News

GAMEPAD MGP-C - Mars Gaming

alibaba-damo/mgp-str-base · Hugging Face

Stor regelendring for MGP

MGP Antibody (10734-1-AP)

M-Paket "Abstehende Stoßstange hinten ". - Seite 2 - Zitat: @j...

Shinhoto Chi-ha : r/Polandballart

Absolute Encoder | POSTECH

QCC MGP MOLD 금형 | 이엠티_Stator Mold

Liberty, Equality, Maternity (ebook), Alison Fell | 9781351197618 ...

Վարդակ 2x2P+E Euro-US ստանդարտ - Mallia - Matt Black - Բարձրորակ ...

Քանի՞ սմարթֆոն կարող է միաժամանակ լիցքավորվել

นักร้องเพื่อชีวิต: ยืนยง โอภากุล

Home - MGP Construction Services

Makel MGP131 Topraklı Klemensli 3'lü Kablosuz Grup Priz Fiyatları ...

นักร้องเพื่อชีวิต: พงษ์สิทธิ์ คำภีร์

Compact guide cylinder SMC MGP Series MGPM25-30Z-M9BL

  • Вперед Проволока для обмотки катушек
  • Назад Бугорки монтгомери

Новые страницы

Альфрид лэнгле

Бельвиль в париже

Что под капотом

Что показывает масштаб какие виды масштаба существуют

До скольки качать колеса велосипеда

Гдз по математике рабочая тетрадь 2 класс 2 часть страница 64

Гдз по русскому языку 5 класс упражнения 686

Как нарисовать какаши в полный рост

Как убрать пауки на кузове

Какой тип развития характерен для паука охотника каемчатого изображенного на рисунке

Карта артплей территории

Котик эстетика рисунок

Кухня выставочный образец распродажа

Математика 3 класс учебник 2 часть школа россии стр 76

Математика 6 класс 2 часть упр 192

Mgp 131

Независимая экспертиза системы отопления в квартире

Образец письма на возврат денег от поставщика

Перевод самозанятого в ип

Площадь калинина старые

Поезд 028а москва санкт петербург отзывы

Распиновка предохранителей хендай солярис

Рейегар таргариен фото игра престолов

Схема накопителя

Схема рассадки класса

Такси эконом джанкой номер телефона

Тяжелораненый сапер

Венец это в строительстве из бревен

Яблоня двудольное

Замена оборудования в проекте на аналогичное как оформить

cdn.zecar.ru