Skip to content

Фотогалерея

  • Главная
  • Контакты

Лечение пояснично крестцовой грыжи

Консервативное лечение пояснично-крестцовой радикулопатии. - YouTube

Хирургическое лечение гигантской секвестрированной грыжи пояснично ...

Все о подвздошно-поясничной мышце | Эффективные упражнения | Exercises ...

Боль в пояснице. Протрузия, грыжа. Лечение. Кинезиология - YouTube

Грыжи и протрузии. Упражнения В.И.Дикуля при грыжах и протрузиях в ...

Упражнения для устранение болей в пояснично-крестцовом отделе ...

Виды spina bifida: менингоцеле, менингомиелоцеле, миелоцеле

Как выглядит грыжа позвоночника фото снаружи поясничного

Опухоли позвоночника - симптомы, лечение, прогноз | Никита Заборовский

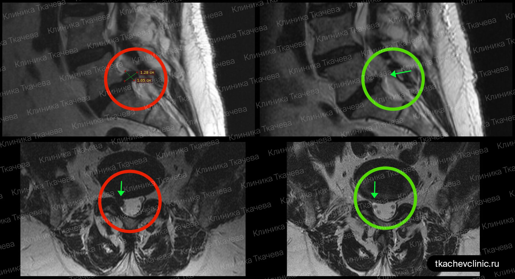
Диагностика межпозвонковой грыжи. Нейрохирург Дуров Олег Владимирович

Spina Bifida | Справка.Неинвалид.ru

Спондилолистез

Массаж в Петропавловске-Камчатском - Цены

Купить препарат для лечения боли в пояснично-крестцовой области ...

Лечение грыжи в пояснично-крестцовом отделе после 2,5 курсов резорбции ...

Протрузия диска – причины и симптомы протрузии диска

Упражнения при пояснично-крестцовом остеохондрозе. Жизнь без боли в ...

ЛФК пояснично-крестцового отдела - Доктор Позвонков

Радикулит пояснично-крестцовой локализации: лечение | MedAboutMe

Грыжа межпозвоночного диска: причины, симптомы и лечение

Радикулит пояснично-крестцовой локализации: лечение | MedAboutMe

Радикулит пояснично-крестцовой локализации: лечение | MedAboutMe

Остеохондроз позвоночника: симптомы, причины и лечение

Грыжа межпозвоночного диска: причины, симптомы и лечение

Презентация на тему: "АО «М ЕДИЦИНСКИЙ У НИВЕРСИТЕТ А СТАНА ...

Психосоматика спины и поясницы: причины заболеваний по мнению Луизы Хей ...

Грыжа крестцового отдела: симптомы и лечение

Дорспатия пояснично-крестцового отдела позвоночника: лечение

Межпозвоночная грыжа - лечение и симптомы, диагностика грыжи ...

Лечение пояснично крестцового радикулита в Екатеринбурге - Новая больница

Грыжа позвоночника: симптомы, причины, диагностика и эффективное ...

jaseng.ru

jaseng.ru

Межпозвоночная грыжа - лечение и симптомы, диагностика грыжи ...

Крестец – строение и роль в организме

  • Вперед По графику изображенному на рисунке 1 определите перемещение тела за три секунды
  • Назад Индикатор обкатки зимней шипованной резины

Новые страницы

Акт выполненных работ образец скачать word бесплатно

Алгебра 9 класс номер 789 макарычев

Деньги бангладеш

Гдз русский язык 7 класс 385

Хищных птиц нельзя уничтожать так как

Карта борисова с улицами и номерами домов со спутника

Книга образец

Корпус то 252

La1185 конвертер схема

Мазь для спортсменов от растяжений

Молочница откуда берется

Образец заявления на выдачу судебного приказа о взыскании долга по расписке

Отвод горизонтальный

При какой температуре наружного воздуха может применяться данный образец топлива

Рейс su 1705 владивосток москва какой самолет схема салона лучшие места

Ремонт led power supply

Ремонт прокола колеса автомобиля

Решебник к учебнику по математике 4 класс моро 1 часть

С крестинами девочки поздравление в картинках

Схема городского концертного зала в туле

Схема подключения реле зарядки зил 130

Схема предохранителей нива 21 21

Синдром портальной гипертензии лечение

Справка о стоимости основных средств образец скачать

Тип нервной системы у червей

Тройник для слива воды

Успокоительное средство от нервов для мужчин

Вебмастер это кто

Ветви схемы

Выездной электрик по авто

cdn.zecar.ru