Skip to content

Фотогалерея

  • Главная
  • Контакты

Как лечить лимфому

Как лечить и вылечить лимфому кожную Т - YouTube

Как лечить лимфому у пациента с ВИЧ? - YouTube

Чем опасно воспаление лимфоузлов и как лечить? - YouTube

🚨 Что такое эпилепсия и как её лечить? Отвечает нейрохирург. Что такое ...

Петербургские ученые научились лечить лимфому в пять раз дешевле ...

Как лечить застой ЖЕЛЧИ? Эти симптомы НУЖНО ЗНАТЬ КАЖДОМУ! Лечение в ...

Лимфома | КлинКейсКвест

Лимфома | КлинКейсКвест

Лимфома у детей [рак лимфатической системы] — что это за болезнь ...

Лимфома центральной нервной системы (вторичная) | Радиография

Неходжкинские лимфомы у ВИЧ-инфицированных больных - презентация онлайн

Лимфома Беркитта — симптомы, лечение заболевания и прогноз

Лимфома Ходжкина: симптомы, стадии, причины и лечение

Лимфома Ходжкина: симптомы, стадии, причины и лечение

Как ставится диагноз

Английский пациент: врачи смогли вылечить мужчину от ВИЧ (4 фото)

Английский пациент: врачи смогли вылечить мужчину от ВИЧ (4 фото)

Неходжкинская лимфома - что это такое, симптомы и фото

Лимфома - что это такое, симптомы, признаки и лечение

Лечение стафилококка Как лечить стафилококк горла? на приёме была ...

Лимфома кожи злокачественная (ретикуло-саркоматоз) - Опухоли и ...

Лимфома кишечника: симптомы, причины, лечение заболевания

Лимфома кишечника: симптомы, причины, лечение заболевания

Лимфома: симптомы, диагностика и варианты лечения

Vera_Brezhneva.jpg

Лимфома: симптомы, причины, типы и стадии заболевания, диагностика и ...

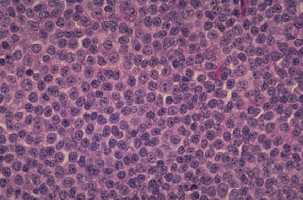
Цитология (гистология) биопсии лимфоузлов при опухоли

Певица Кристина Орбакайте в свой день рождения попросила Бога о защите ...

Хронические лимфопролиферативные заболевания. Опухоли из зрелых В ...

Алдонин раскрыл, как его супруга Ольга познакомилась с дочерью ...

Свежие новости по теме: "Андрей Гайдулян" на BLITZ.plus

Куркумин и неходжкинская лимфома: помогает ли он?

Хронические лимфопролиферативные заболевания. Опухоли из зрелых В ...

Хронические лимфопролиферативные заболевания. Опухоли из зрелых В ...

Хронические лимфопролиферативные заболевания. Опухоли из зрелых В ...

  • Вперед Гдз по биологии 5 класс корнилова рабочая тетрадь
  • Назад Образец письма в военкомат об увольнении сотрудника

Новые страницы

2Sk2500 аналоги

Акт об устранении замечаний при строительстве образец

Что такое перигелий

Дерматит стероидный

Гдз по русскому языку 6 класс ладыженская 2 часть упр 336

Гном 40

Как лечить заикание у взрослого

Как узнать какая карта магнит привязана к телефону

Карта ст советская новокубанский район

Картинки о чтении книг для детей

Кнопка слива для унитаза roca

Кожаная куртка парка

Лучше дома фитнес

Мп40 транзистор характеристики

Наращивание ресниц жулебино

Окружающий мир 3 класс рабочая тетрадь плешаков 2 часть стр 73

Подключение топливного датчика

Приказ на работу в выходные дни образец

Работа музыкантом в спб

Схема 1 позиции

Схема управления области

Схема вязания шарика крючком для начинающих

Склонение числительного 274

Скрябина академия официальный сайт

Смотровая площадка москва сити пушкинская карта

Стокманн обувь

Учебник по математике 4 класс 2 часть моро страница 66

Упражнение 25

Запотели фары

Жкб лечение медикаментозное

cdn.zecar.ru