Skip to content

Фотогалерея

  • Главная
  • Контакты

Инвазивный дольковый рак молочной железы

Рак молочной железы дольковый и протоковый, что хуже? | ONCOLOGY.ru ...

Дольковый рак молочной железы - YouTube

Рак молочной железы Причины диагностика лечение - YouTube

Рак молочной железы - презентация онлайн

Маммография: виды, порядок проведения, значение - СаФайр

Опухоли. Определение, номенклатура, классификация - online presentation

Презентация на тему: "ДИСГОРМОНАЛЬНЫЕ БОЛЕЗНИ ПОЛОВЫХ ОРГАНОВ И ...

Рис. 10-8. Микропрепараты «Фиброзный рак (скирр) молочной железы ...

Эпителиальные опухоли. Опухоли кроветворной и лимфоидной ткани ...

Медуллярный рак молочной железы: информация

Заболевания молочной железы

Дольковый рак молочной железы: признаки, симптомы, лечение 2019 | ВКонтакте

Морфологическая верификация рака молочной железы Выполнила студентка 5

Дольковый рак in situ молочной железы

Люминальный рак молочной железы типа a и b - лечение и прогноз

Рак молочной железы дольковый и протоковый, что хуже? | ONCOLOGY.ru ...

Внутрипротоковый рак in situ молочной железы: информация

Рак молочной железы. Предраковые заболевания. Классификация РМЖ ...

В чем опасность инвазивного рака молочной железы? | KrasivayaGrud | Дзен

Патоморфология опухолевого роста - презентация онлайн

РАК КАФЕДРА ПАТОЛОГИЧЕСКОЙ АНАТОМИИ Сиб ГМУ Вторушин С

Заболевания женских половых органов и молочных желез - презентация онлайн

Инвазивный рак молочной железы: дольковый инфильтрирующий протоковый

Инвазивный рак молочной железы: дольковый инфильтрирующий протоковый

Рак молочной железы Рак молочной железы

Инвазивный рак молочной железы: дольковый инфильтрирующий протоковый

1 стадия рака молочной железы: прогноз и выживаемость, лечение ...

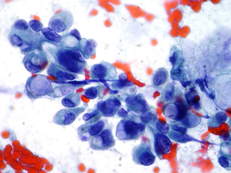
Цитологические признаки отдельных форм рака молочной железы. Дольковый рак

Цитологические признаки отдельных форм рака молочной железы. Дольковый рак

Цитологические признаки отдельных форм рака молочной железы. Дольковый рак

Лечение рака опухоли молочной железы в Москве цены, клиники

Дольковый рак молочной железы: особенности карциномы

Книга "Справочник по лечению первичного рака молочной железы" Сайт мед книг

Более 7 800 работ на тему «оптическая микрофотография»: стоковые фото ...

У Сары диагностировали рак молочной железы: бывшая жена принца Эндрю ...

  • Вперед Доступная среда для инвалидов картинки
  • Назад Полиграф своими руками

Новые страницы

Автобус ютонг салон схема расположения мест

Часть рисунка с идентификатором отношения rid2 не найдена в файле powerpoint что делать

Чебурашка крокодил гена и шапокляк

Детская спортивная школа баскетбол

F4905s datasheet

Графическая работа номер 12 по черчению 9 класс ботвинников эскиз детали с выполнением сечений

Инвазивный дольковый рак молочной железы

Как лечить осиплость голоса при простуде

Как удлинить кардан своими руками

Какое давление в топливной рампе ваз 2110

Курорт в абхазии цены

М11 накладная образец

Мультивибратор на реле схема

Нокиа аша фото

Новые узоры спицах схемы

Образец договора безвозмездного пользования земельным участком

Образец радиоактивного висмута находится в закрытом сосуде ядра висмута испытывают альфа распад 15

Округлить до десятков 1623

Pn2222 datasheet

Расход топлива шкода йети

Санаторий алеся брестская

Схема движения ростов

Схема влияния людей

Школа 15 17 москва

Сочинение 5 класс по картине сирень в окне

Спортивный костюм из футера

Тренировочный вариант 19 огэ 2023

Уаз крутит стартер но не заводится

Заказать такси в ярославле недорого по телефону

Зеленая школа проект официальный сайт

cdn.zecar.ru