Skip to content

Фотогалерея

  • Главная
  • Контакты

Гингивит беременных

Как предотвратить гингивит беременных? - YouTube

Цена: 550руб.Размеры: 48,50,52Арт: 8260835. Фотография из альбома Все ...

Книги для беременных и будущих родителей

Платья для беременных девушек - 80 фото

Гингивит | Клиника Добрый Доктор г. Красноярск

Зубы и беременность

Купить Сухой корм Gemon Cat для котят и беременных кошек, с курицей и ...

«Гиннесс» для беременных

Язвенно-некротический гингивит

Гевискон Для Беременных – Telegraph

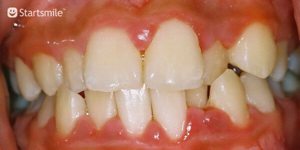
Гингивит при беременности - признаки, советы стоматолога

Пижамы с длинными рукавами для беременных; большие размеры; джемпер для ...

Презентация на тему: "Выполнила студентка группы МС 401 Альзанглиги ...

"Беременный" гингивит | стоматология | Дзен

Причины и лечение гингивита у беременных

Гингивит | Стоматология Бескудниково

Презентация на тему: "МИНИСТЕРСТВО ОБРАЗОВАНИЯ И НАУКИ РФ Первый Санкт ...

Что вредно для беременных? - Юлия Лаврова - купить и читать онлайн ...

Гингивит у беременных - JETPIK

Эргономичный Бюстгальтер для кормления-дородовой бюстгальтер для ...

Бюстгальтер для кормления, для беременных Viva Mama Для беременных ...

MUQGEW Moms Одежда для беременных женская одежда с короткими рукавами и ...

Джинсы брюки для беременных

Хлопок Грудное вскармливание для беременных бюстгальтеры сна для ...

Белый топ для кормящих купить онлайн. Доставка и примерка. Заказать ...

Причины гингивита у взрослых

Презентация на тему: "Тернопольский государственный медицинский ...

ZTOV бюстгальтеры для кормящих мам для беременных и кормящих одежда для ...

ZTOV Беременные женщины грудного вскармливания бюстгальтер для ...

ZTOV Беременные женщины грудного вскармливания бюстгальтер для ...

Изменения слизистой оболочки полости рта при эндокринных расстройствах ...

Бандаж для беременных Черный Бежевый (100) (200)(120)

Гингивит у взрослых – симптомы, фото, отзывы

Цветочный кружевной бюстгальтер для беременных женщин для кормящих и ...

ZTOV кружева Грудное вскармливание Бюстгальтер Беременность Костюмы для ...

  • Вперед Греются передние колеса нива
  • Назад Схема тц

Новые страницы

Алгебра 8 класс ответы учебник

Английский язык 3 класс 2 часть учебник страница 22

Длина чери кимо

Длина дворников на ниссан ноут

Договор купли продажи земельного участка росреестр образец

Физическая культура по спортивным сооружениям

Гирлянда тассел как собрать

Как поменять бензонасос на ваз 2110

Какими цифрами обозначены на рисунке цикл развития папоротника гаплоидные стадии развития назовите

Карта для бименджи драйв спуск с горы

Картинки аниме тян 16

Магазин теплых спортивных костюмов

Монтаж стальной двери

Нива шевроле как подключить противотуманки

Образец сульфида алюминия массой 25

Полисомнографическое исследование

Предсердная экстрасистолия

Прививка от туберкулеза сколько действует

Распиновка кнопки птф ваз

Разболтовка вольво 740

Ресторан пенза

Русский язык 2 класс страница 89 упражнение 155

Схема подключения карбюратора на газель

Сзв тд при реорганизации в форме присоединения образец

Трамвай звуковая схема 1 класс

Трудовой договор на директора ооо образец скачать

Влажная уборка музыкального и спортивного зала

Ява мотоцикл индия

Занятие по математике в старшей группе с презентацией

Запрос в мсэ от работодателя образец

cdn.zecar.ru