Skip to content

Фотогалерея

  • Главная
  • Контакты

Афп онкомаркер

Альфа-фетопротеин (АФП) - расшифровка анализа при беременности и как ...

Альфа-фетопротеин (АФП): о чём говорит онкомаркер. - YouTube

Анализы | Clean Clinic

Онкомаркеры

Онкомаркеры - презентация онлайн

Онкомаркеры. Таблица комбинации опухолевых маркеров - online presentation

Онкомаркеры. Таблица комбинации опухолевых маркеров - online presentation

Онкомаркеры поджелудочной железы

Основная расшифровка онкомаркеров

Альфа-фетопротеин (АФП) – о чем может рассказать анализ и его ...

Интерпретация результатов онкомаркеров, гистологического исследования ...

Онкомаркеры. Использование онкомаркеров - презентация онлайн

Тест на онкомаркер альфа-фетопротеин (АФП) при раке печени обновлено 28 ...

Онкомаркеры костей: как называются, особенности проведения

Онкомаркеры костей: как называются, особенности проведения

АФП онкомаркер: что это такое и результаты анализов

Что такое повышенное давление и как его лечить | Продукты для здоровья ...

АФП онкомаркер: что это такое и результаты анализов

В Бразилии открылся мавзолей Пеле - РИА Новости Спорт, 16.05.2023

ОНКОМАРКЕРЫ Перечень онкомаркеров, которые имеют значение при ...

АФП онкомаркер: что показывает, норма, расшифровка

Купить EFELE Очиститель карбюраторов - 251 руб.! Доставка по всей России!

Альфафетопротеин онкомаркер (АФП): расшифровка, норма

Анализ крови на Альфа-фетопротеин (АФП), онкомаркер | отзывы

Купить EFELE Смазка для токарных патронов - 1643 руб. В наличии ...

Онкомаркер СА 15-3: расшифровка, норма у женщин, что показывает

АФП онкомаркер: что показывает, норма, расшифровка

Альфа-фетопротеин в крови что означает, онкомаркер АФП, норма | hk ...

Можно ли верить онкомаркерам - что показывают окномаркеры

Онкомаркеры

Анализ АФП в Германии

Онкомаркер СА 19-9: расшифровка анализа, что показывает онкомаркер СА ...

Анализ на онкомаркеры: надо ли сдавать или не тратить деньги ...

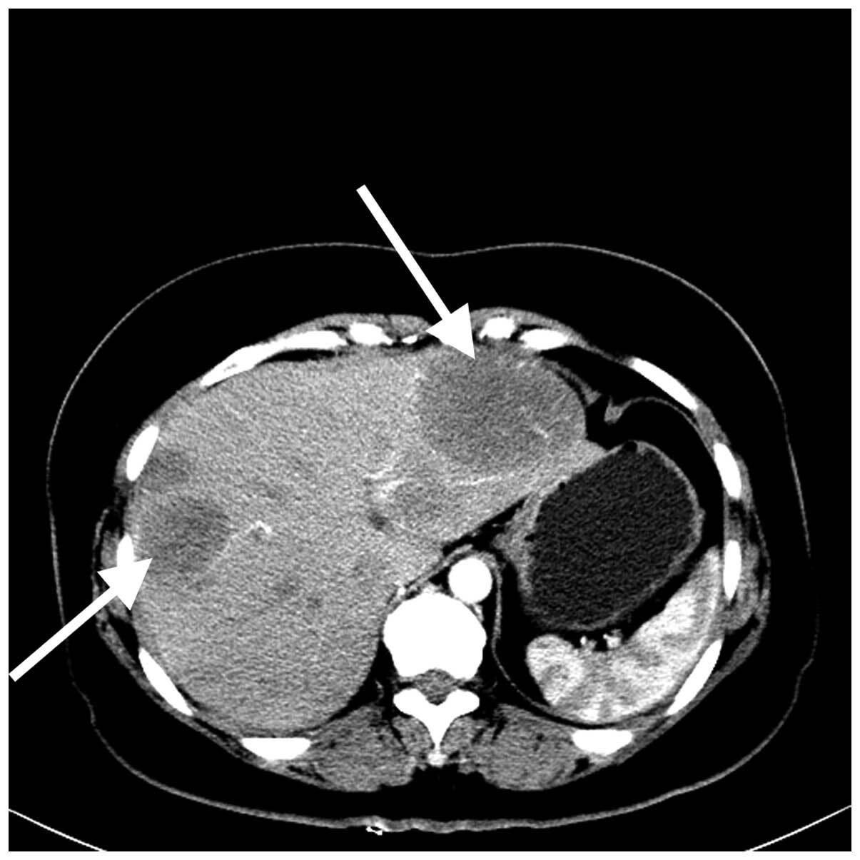
Метастазы в печени. Возможные варианты лечения | Пикабу

Беременность и секс: что вы не знали о влиянии интимной жизни на ...

  • Вперед Трассодефектоискатель
  • Назад Гдз по математике автор мерзляк 5 класс 1 часть

Новые страницы

Администратор в фитнес клуб вакансии

Достопримечательности ессентуки и его окрестностей

Фольксваген поло когда менять цепь грм

Фото собор св стефана в вене

Гдз по чтению рабочая тетрадь четвертый класс

Гдз по математике 4 кл 2часть

Госзакупки регистрация ип

Как писать блок схемы

Как вылечить грибок на ноге

Карта менде рязанской губернии с привязкой 1850 год

Контекстная реклама на сайт

Купить зимний спортивный костюм

Настройка брелка scher khan

Одинцово парк культуры спорта и отдыха

Озеро в магаданской области

Пфхд в бюджетном учреждении образец

Путь зрительного анализатора схема

Р2р кредитование

Распоряжение о переводе на другую должность внутри организации образец

Русский решебник 5 класс ладыженская

Схема вязания ажурного палантина спицами с описанием

Сколько стоит перекопать огород

So3 схема

Спортивные костюмы купить пермь

Спорттовары сыктывкар

Стулья составить схему

Тренинг достижение

Укажи утверждение и схему реакции верные для реакции обмена может быть несколько вариантов ответа

Установка межкомнатных стен

В треугольнике авс проведены медианы

cdn.zecar.ru